Sztárhírek

Ha szíven lőnek még leélhetsz 40 évet

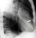
Negyven éven át élt puskagolyóval a szívében egy vietnami férfi, akit végül a múlt hét végén szabadítottak meg a háborús "emléktől" az egyik hanoi kórházban. A ma hatvanéves ember, a vietnami néphadsereg egykori katonája a vietnami háború során, 1968-ban

A háborús körülmények között azonnali, bonyolultabb műtétre nem volt lehetőség, a fiatal katona azonban mégis túlélte a súlyos sebesülést. Egy évvel később az orvosok megpróbálták eltávolítani a lövedéket, de kudarcot vallottak. A golyó pontosan az egyik szívbillentyűbe fúródott, s úgy helyezkedett el, hogy egy ideig nem veszélyeztette az egykori katona egészségét.

A férfi korosodásával azonban a lövedék mind gyakrabban panaszokat, majd végül infarktust okozott, s ez megkövetelte az újabb orvosi beavatkozást.

A hanoi szívkórház orvosainak ezúttal sikerült eltávolítaniuk a golyót, mégpedig a sérült szívbillentyűvel együtt, és azt mesterséges billentyűvel pótolták.

A bonyolult műtétet végző orvos csoport vezetője szerint az operáció sikeres volt, a beteg jól gyógyul és körülbelül tíz nap múlva elhagyhatja a kórházat.

Forrás: MTI

© 2026 Hírextra. Minden jog fenntartva.