Tudomány

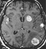
A magyarok szerint kamu az agydaganat elleni svájci-amerikai szer

A Magyar Neuro-Onkológiai Társaság főtitkára szerint nem igazak azok a hírek, hogy agydaganatot megelőző elleni vakcinát hoz forgalomba Svájcban egy amerikai cég. Fedorcsák Imre a Népszabadságnak azt mondta: elég megnézi a gyártó honlapját, hogy kiderüljö

Az amerikai laboratórium hétfőn jelentette be, hogy felhatalmazást adott az agytumor elleni első vakcina forgalomba hozására Svájcban. A DCVax-Brain nevű oltóanyag a tervek szerint 2009-től lenne elérhető az Egyesült Államokban és Európa más országaiban.

Fedorcsák Imre szerint szó sincs megelőző oltóanyagról, ahogy az esetleges gyógyító eljárás forgalmazásáról sem. Az eljárás kísérleti stádiumban van, a kezelések egyelőre a túlélés esélyeit növelik.

Forrás: Független Hírügynökség

© 2026 Hírextra. Minden jog fenntartva.